Inspira con tu sonrisa.

Dra. Andrea Briseño González
Periodoncista• Odontología Personalizada

Odontologia personalizada con enfoque periodontal. Nuestro objetivo es tratar de manera integral tu boca desde la prevención hasta los tratamientos que sean necesarios para que goces de una excelente salud bucodental a largo plazo y tengas calidad de vida.

Nuestros tratamientos

Periodoncia

La salud de tus encías es la base de una sonrisa duradera.
Tratamientos especializados para:

  • Enfermedad periodontal
  • Sangrado o inflamación de encías
  • Movilidad dental
  • Recesión gingival
  • Raspado y alisado radicular (limpiezas profundas en pacientes con enf. Periodontal)
  • Mantenimiento periodontal
  • Regeneración ósea y tisular
  • Cirugías periodontales estéticas

Odontología Personalizada

Cada sonrisa es única. Por eso, cada plan de tratamiento se diseña de forma individual, enfocándose en:

✔ Diagnóstico preciso
✔ Prevención a largo plazo
✔ Estética natural
✔ Comodidad antes, durante y después
✔ Acompañamiento continuo del paciente

Tu sonrisa no es un estándar: es una obra personalizada.

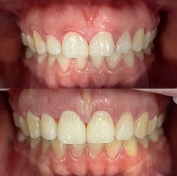
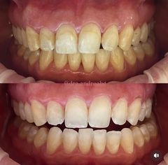
Diseño de Sonrisa

El diseño de sonrisa con la Dra. Andrea es un tratamiento personalizado que armoniza la forma de tus dientes con tus rasgos faciales, tu expresión y tu personalidad.
Cada diseño se realiza con tecnología avanzada, materiales estéticos de alta calidad y una visión artística que garantiza resultados naturales y elegantes.

¿Por qué atenderte con la Dra. Andrea?

Atención ética y profesional

En nuestra clínica, conocerá el precio total de cualquier tratamiento antes de empezar, para que sepa exactamente qué esperar. Sin sorpresas.

Equipos modernos

Todos nuestros servicios se llevan a cabo con equipos modernos y de alta calidad. ¿Tiene curiosidad por un nuevo tratamiento? Háganoslo saber y se lo explicaremos.

Consultas sin prisa, orientadas a escucharte

Todos los dentistas, asistentes dentales y cirujanos de nuestra clínica son profesionales, experimentados y compasivos.

Conoce a la

Dra. Andrea Briseño González

La Dra. Andrea combina experiencia clínica, tecnología actualizada y un trato cálido para ofrecer una experiencia odontológica diferente: profesional, humana y sin dolor.

Historias de pacientes

“Me explicó todo con mucha paciencia y mi tratamiento fue totalmente indoloro.”

Martina C.

“Excelente especialista, mis dientes quedaron hermosos y sanos.”

Dean B.